DR觀察:沒有可視化點片 肺癌的篩查讓人堪憂
近些年來,肺癌的發病率逐漸升高。據統計,2015 年全球范圍內新增癌癥病例1410 萬,820 萬人死于癌癥,預計未來20 年新發病例數將增加70%。由于人口老齡化、不良生活習慣、環境污染和傳統手段治愈率較低等因素,我國已成為癌癥發病和死亡大國。據全國腫瘤登記中心統計顯示,2015 年中國癌癥新增429.16 萬例,死亡281.42 萬例。其中肺癌和胃癌高居發病和死亡前兩位。無論發病數還是死亡數,肺癌均排在惡性腫瘤第一位。
2015 年中國癌癥死亡人數(千人)及占比

肺癌生存率與首次確診時的疾病階段高度相關。遺憾的是,肺癌是所有癌癥類型中總體五年生存率幾乎最低的癌癥類型,僅為17%。如能在早期階段確診,則五年存活率會顯著提高。因此,肺癌早期診斷和進行有效的篩查能挽救很多病人的生命,是目前預防與應對肺癌工作的關鍵。
使用X射線影像篩查是目前最常用,最直接的篩查手段,在中國的絕大部分區域,X射線胸片檢查是肺癌篩查的關鍵,如何精準的篩查出疑似病灶點成為DR設備的不斷追求。可以說,以往的DR單一檢查方式已完全不能滿足目前國內肺癌發展的態勢,因為胸部腫塊易躲藏的部位在脊柱旁、肋骨覆蓋、心臟側面、肺門附近等,單一的胸片攝影較容易遺漏病灶點,使用一臺不具備可視化點片功能的DR設備進行肺癌早期篩查,不免讓人堪憂。
以下案例即是如此,由于缺乏可視化點片功能,單一的胸片攝影篩查無法第一時間給出準確的診斷結果,反復誤診之后給病患及家屬留下的是無盡的遺憾。
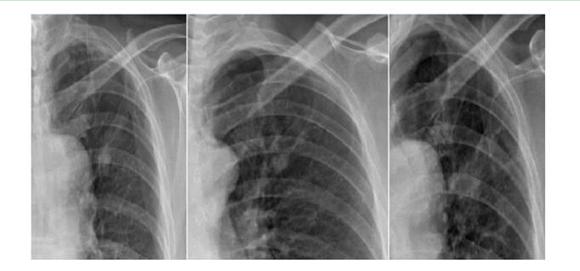
案例一:

第一年 第二年 第三年
案例解析:
在該案例中,病患在單一胸片檢查中,診斷出左上肺高密度結節影,前兩次在胸片攝影檢查得出的診斷結果并無大礙。相隔一年再去復查被誤診為“結核硬結灶”,并針對此而治療。但是,到了第三年之后,再次診斷發現結節影明顯增大,后才被確診為是肺癌,但為時已晚;如使用具備可視化點片功能的DR設備,胸片與胸透無縫結合,在透視下對“高密度結節影”全方位、多角度的高清點片獲取更多的確診信息,進一步病理分析,第一時間得出確診結果,做到早發現、早治療,結果將會截然不同。
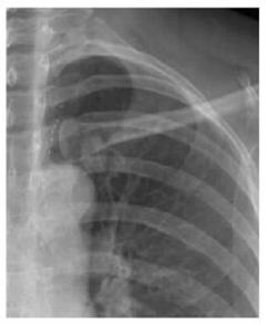
案例二:

圖二 左鎖骨重疊致密結節,誤為衣服紐扣,病理肺腺癌
案例解析:
該病例發生在國內某基層醫院,病患首先通過胸片攝影篩查,顯示出左上肺野內帶高密度橢圓形結節,由于形狀與紐扣極為相似,誤為衣服紐扣,并未做進一步診斷。第二年之后,病患再來復查,卻發現照片上結節影增大,立即進一步診斷檢查,最終經過活檢證實為肺癌,錯過了最佳的肺癌治療期。
類似的臨床案例不勝枚舉。在我國,尤其是在擁有龐大數量級的二級及其以下醫院中,由于醫療設備落后、人力資源以及專業技術水平上的限制,存在多種因胸片攝影篩查無法第一時間給出準確的診斷結果, 錯過最佳的肺癌治療期,導致目前國內肺癌檢出者中,超過87%以上為中、晚期患者,治愈率長年處于較低水平。隨著2017年全國兩會的的召開,“醫療改革”“精準診斷”再次為全國人民最關注的核心問題,如何提高肺癌早期的檢出率,做到早診斷、早治療成為目前抑制肺癌的棘手難題。
X射線篩查作為肺癌篩查的首選,常分為胸片和胸透兩種檢查方式,各有利弊。胸片檢查的優點是影像清晰,對比度較好,能留有永久記錄,供復查對比、會診討論用,缺點是不能觀察活動器官和骨骼的運動情況,存在盲區;而胸透檢查的優點是可通過轉動病人體位,進行多角度觀察,并能觀察內臟器官的運動情況,醫生可通過胸透,對病灶進行多方位動態觀察以幫助診斷,缺點是分辨率不足,對比度低。據以上對比可知,胸透的優點是胸片的不足之處,而胸片的優點正是胸透的缺點,只有兩者取長補短,配合使用,才能充分發揮其精準診斷的效用。縱觀目前全球DR設備技術發展,DR的可視化點片技術即是最好的結合兩者優勢,在胸透中實現胸片的獲取,可以說是肺癌篩查設備的不二選擇,如繼續單一使用胸片或者胸透檢查,DR不具備可視化點片功能,肺癌的篩查讓人堪憂!
【來源:醫藥網】

上一篇:腹腔鏡手術器械的清洗消毒與保養






